Diş Hekimi

Diş Hekimi Uygulamaları ve Tüm Diş Hekimi Tedavilerinin Yayınlarını Burada Bulabilirsiniz.

Diş Duşu Nedir ? Diş Duşu Nasıl Yapılır ? Ağız Duşu Fiyatları

Ağız duşu bir nevi diş temizleme uygulamasıdır. Bu uygulamadaki amaç ise diş fırçasının ve diş ipinin erişemediği bölgelere erişmek ve bu bölgelerin temiz tutulmasını sağlamaktır. Genellikle ağız hijyenine önem vermeyenler için diş hekimleri tarafından istenen diş duşu uygulaması em pratik hemde rahat bir uygulamadır. Bu uygulama ile yıllarca sağlıklı bakmadığınız dişleriniz yeniden sağlığına kavuşacaktır. Diş […]

devam ›

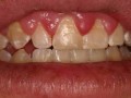
Diş etleri dişlerinizin sağlıklı olup olmadığını gösteriyor

Diş etlerinde oluşan problemler ağız sağlığımızında genel bir görünümünü oluşturmaktadır. Ağızda ve diş etlerinde meydana gelen sorunlar kronik enfeksiyonlar olarak bilinir ve genel olarak ağız sağlığımızında bozulduğunu bizlere haberdar eder. Buna en iyi örnek olarak diş eti kanamalarını gösterebiliriz. Diş fırçalarken yada sabah kalktığımızda oluşan diş eti kanamaları ağız ve diş sağlığına yeterli önemin verilmediğini […]

devam ›

Sahurdan sonra mutlaka dişlerinizi fırçalayın

Ramazanda normal beslenme düzenimiz tamamen değişmektedir. Özellikle sahurda yenilen yemek sonrasında direk uykuya dalmak dişlerde tartar oluşmasına ve diş etlerinde sorunlara ve dişlerin zamanla çürüyerek dökülmelerine neden oluyor. Bu nedenle özellikle sahurdan sonra mutlaka dişlerinizi fırçalamanız önerilmektedir. Uzmanlar iftar ve sahurdan sonra dişlerin fırçalanmasını öneriyor Uzmanlar özellikle ramazan ayında dişler konusunda bolca uyarılarda bulunmaktadır. Diş […]

devam ›



EN ÇOK OKUNAN KONULAR

Diş implant Fiyatları
8078946 kez okundu
Diş eti çekilmesi nasıl durdurulur ?
5678946 kez okundu
Porselen Diş Kaplama Fiyatları
4859032 kez okundu
20 lik Dişler
4309836 kez okundu
Ağız ve diş sağlığının önemi nedir ?
3891269 kez okundu
Protez Diş Fiyatları
2698402 kez okundu
Diş Dolgusu Fiyatları
2457036 kez okundu
Dişlerde Köprü Fiyatları
2238602 kez okundu
Yaprak Porselen Diş Fiyatları
1894583 kez okundu
Lamina Diş Kaplama Fiyatları
1579302 kez okundu
Diş Zirkonyum Fiyatları
1043865 kez okundu
Diş Beyazlatma Fiyatları
936201 kez okundu
Estetik Diş Hekimi
738596 kez okundu
Görünmeyen Diş Teli Fiyatları
573805 kez okundu
Çapraşık Dişlerin Tedavisi
346902 kez okundu
Diş eti çekilmesi nedir ?
246693 kez okundu
Diş Kırılması, Diş Kırığı
164976 kez okundu

SON YORUMLAR

Diş Kırılması, Kırık Diş ve Diş Kırığı Tedavileri
Selma tarafından 1 gün önce
Dilde Çıkan Uçuklar, Dil Yaraları, Ağız Yaraları
Mete tarafından 1 gün önce
Hamilelikte diş çekimi nasıl yapılır ?
Handan tarafından 1 gün önce
Diş Sallanması
Halide tarafından 1 gün önce
Dilde Çıkan Uçuklar, Dil Yaraları, Ağız Yaraları
Filiz yıldız tarafından 1 gün önce

3 Yorum

Yorum Yaz

ışıl

diş duşu aletini nereden temin edebilirim fiyatı nekadardır.Üst damakta en son 2 dişim sallanıyor diş hekimim iki dişede kaplama yapalım dedi dişler birbirini tutar dedi ne derece etkili olur.Sallanması geçermi

ibrahim

ben üstteki 8 disimi lamine kaplatmak istiyorum tahmini bir fiyat söylermsnz??

benim sorunum dişlerim çürük olduğundan ağrısı kalbime vuruyor birde ben magdurum ne param var nede pulum bir allah birde siz varsanız bana yardımcı olsun yeni sağlıklı diş istiyorum ben:(

Sorunuzu Gönderin